2026-03-27
最新消息

分享

跨越 15年的特殊案例

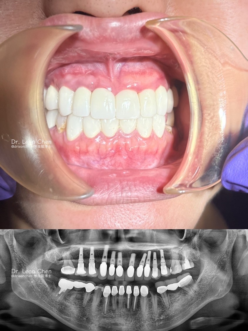
2008年一位從俄亥俄州(Ohio)飛到加州找陳博士植牙的患者。
手術完成後,由於距離遙遠,期間他完全沒有回來保養與回診。
2023年(整整15年後),他突然出現在陳博士台北駐診的診所,特地來打個招呼。

這15年來完全沒有回診保養的他,情況如何?
臨床檢查顯示,患者沒有牙齦探測出血(No bleeding upon probing),代表著植體周圍組織依然非常健康,沒有紅腫現象,也沒有一般植牙常見的牙肉擠壓。
照片中呈現的,全都是患者真實且自然的牙齦組織。

從2008到2023年,長達 15 年的追蹤(15 years follow up),再次驗證了手術精準度帶來的價值。
看著患者依然健康的笑容,這正是植牙手術追求的最高境界:極致的長期穩定與自然。

小叮嚀:
雖然陳博士的患者不常回診檢查保養,但還是建議大家:定期半年檢查牙齒,洗牙,讓專業牙醫師為口腔健康把關。
LEONS concept 就是這麼安全穩定,和自然牙的感覺一樣;最經得起時間考驗的治療計劃與理念。



 

 ※ 若需使用影像作為文宣或廣告,請事先聯繫並取得同意,感謝您的尊重!


如果您對LEONS Concept/一鑽™植牙有任何疑問或想要進一步了解,歡迎與我們聯繫,
我們將為您提供專業的建議與最適合的治療方案。

▌里昂哈佛仁愛牙醫診所 ▌
預約LINE:
@769rwgpt
預約專線:02-2325-2100
診所地址:台北市大安區仁愛路四段418號2樓