2026-01-09
最新消息

分享

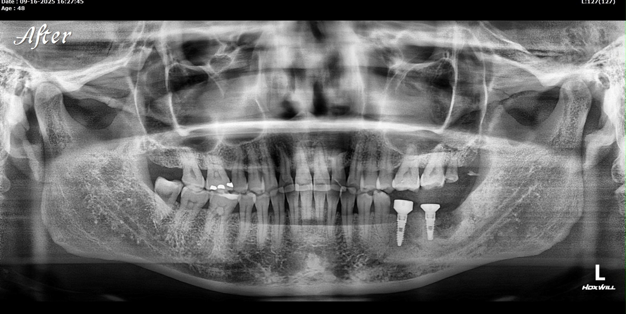
精奈創一鑽植牙系統團隊|3.5個月完成的植牙案例

一位初診新患者,陳博士評估後進行治療。
植牙後約3.5個月骨整合完成,骨頭穩定生長良好。
這樣的恢復速度,與Ezechbone的特性有關,
但最重要的是要有良好的primary stability。

若以一般傳統流程,往往需要先拔牙後等待數月,
再補骨、放人工膜,等待約10 個月左右,
之後還得再取出人工材料才能進行植牙,
整個療程動輒一年以上,空窗期長,變數也多。

陳博士的治療方式,手術過程中不使用人工膜,
僅以可吸收縫線(chromic gut suture))完成縫合。
植牙當天,scan body掃描就同步完成,流程一次到位。
接下來就是裝固定假牙。

對患者來說,療程清楚、恢復順利、生活品質不受影響;
對醫師來說,節奏穩定、結果可預期,不用提心吊膽。

治療變得簡單安心,身心靈也都被照顧了。

 



 

 ※ 若需使用影像作為文宣或廣告,請事先聯繫並取得同意,感謝您的尊重!


如果您對LEONS Concept/一鑽™植牙有任何疑問或想要進一步了解,歡迎與我們聯繫,
我們將為您提供專業的建議與最適合的治療方案。

▌里昂哈佛仁愛牙醫診所 ▌
預約LINE:
@769rwgpt
預約專線:02-2325-2100
診所地址:台北市大安區仁愛路四段418號2樓