2025-06-27
最新消息

分享

精奈創一鑽植牙系統團隊|從鬆動門牙到重拾笑容:全口重建旅程

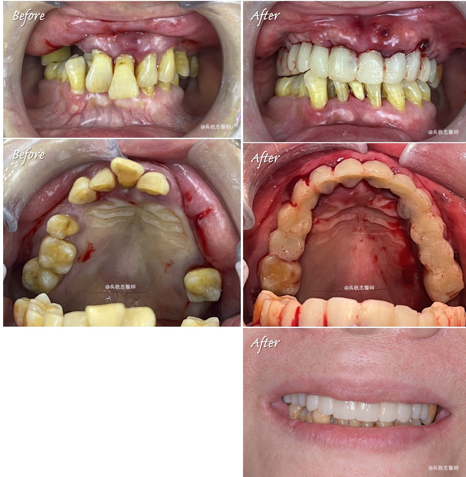
面對牙齒鬆動、牙周問題,過去很多患者害怕全口重建的繁瑣與不適。
透過精奈創技術和一鑽植牙系統的微創高效技術,患者能在舒適穩定的過程中,快速找回自然的咬合與生活品質。
※ 以下是吳敬忠醫師的分享:

這位患者因為門牙嚴重鬆動、咀嚼困難前來求診,影響了日常生活與自信心。
經過完整的口腔評估後,我們建議保留左上後牙(26),其餘牙齒拔除後,進行全口植牙重建。
整個療程中,患者配戴暫時固定式臨時假牙(Temporary Restoration)生活,外觀自然、咬合穩定,幾乎沒有不適感。
中途雖有一次小角缺損,也在當天即時修補,不影響正常使用。
在第七個月準備製作最終假牙時,發現其中一顆植體(12)尚未成功骨整合。
我們當機立斷進行重新植牙與癒合帽安裝,但由於中間一直有臨時假牙支撐,患者的咬合與外觀絲毫未受影響,整體流程無縫接軌、不中斷,療程持續順利。
目前已完成的是11、13的氧化鋯假牙,患者恢復完整咬合功能與自然笑容。待12長好之後,無縫接軌直接裝上去,一冠一釘。
我們也衷心感謝陳博士所建立的系統與理念,讓我們能夠從技術、流程到患者心理層面,都做到真正的全面照顧。

吳醫師向來很相信陳博士,「一心一師,一門深入」為座右銘。
所以才能這麼快地掌握到陳博士的理念,完成精奈創一鑽植牙+5 合一全口重建。

 

 

 ※ 若需使用影像照片作為文宣或廣告,請事先聯繫並取得同意,感謝您的尊重!

 
陳俊龍博士的一鑽™植牙系統:手術少,創傷小,恢復快!​
沒有併發症;適合各類患者,無論是高齡患者、慢性病患者,甚至是骨質疏鬆患者,且不用停藥的情況下,可以接受治療。
 

如果您對一鑽™植牙有任何疑問或想要進一步了解,歡迎與我們聯繫,
我們將為您提供專業的建議與最適合的治療方案。

▌里昂哈佛仁愛牙醫診所 ▌
預約LINE:
@769rwgpt
預約專線:02-2325-2100
診所地址:台北市大安區仁愛路四段416號2樓